Изжога. Гастроэзофагеальная рефлюксная болезнь
|
Изжога |
||||||||
|
Гастро-эзофагальная рефлюксная болезнь (ГЕРБ) Каждый из нас однажды испытал такое неприятное ощущение, как изжога. Причиной ее есть регургитация (заброс) кислого содержимого желудка в пищевод.
Если же кислотная регургитация в пищевод становиться частой (после каждого приема пищи), то ее изнуряющие и пагубное действие значительно снижает качество жизни. Такое явление называется гастро-эзофагальная рефлюксная болезнь. Существует много неверных представлений об этом заболевании. Ниже, я истолкую основные понятия о возникновении этого заболевания, зависимость между кислотной регургитации и диафрагмальной грыжей, основные методы лечения этих состояний. На сегодняшний день достигнуты значительные успехи в диагностике и лечении рефлюксной болезни. Существуют консервативные и хирургические методы, в зависимости от тяжести заболевания и других патофизиологических факторов.
Что такое кислотное рефлюксное заболевание?
Кислотный рефлюкс возникает, когда содержимое желудка (пища и желудочная кислота), а иногда и двенадцатиперстной кишки (желчь) проходят обратным током через ослабленный верхний клапан желудка и попадают в пищевод. Слизистая пищевода не привычна к таким сильным химическим раздражителям, как соляная кислота желудка или желчь. Они действуют на пищевод раздражающе, вызывают повреждения слизистого слоя.
Какая причина рефлюкса? Редкое возникновение рефлюкса может быть вариантом нормы и связанно с единовременной «несработкой» верхего клапана желудка по удержанию желудочного содержимого от обратного заброса. Постоянный заброс сильных химических раздражителей в пищевод приводит к хроническому повреждению его слизистой. Частями механизма глотания и предотвращения рефлюкса есть мышечная помпа (пищевода) проталкивающая комок пищи вниз по пищеварительной трубке, клапан предотвращающий обратный заброс (нижний пищеводный сфинктер) и желудок. Если одна из перечисленных частей не выполняет свою функцию или при неслаженной их работе- может возникать кислотный рефлюкс.
Рефлюкс возникает при недостаточной силе проталкивания комка вниз по пищеводу, недостаточности сфинктера между пищеводом и желудком, недостаточной скорости опустошения желудка. Наиболее частой (80%) причиной есть ослабевание нижнего пищеводного сфинктера.
Какая связь между кислотным рефлюксом и диафрагмальной грыжей?
Какие симптомы рефлюксной болезни? Три основных симптома связаны с кислотным рефлюксом: Изжога-ощущение глубокого жжения за грудиной, Кислотная регургитация, или ощущение кислоты или желчи в горле Дисфагия, или сложности при глотании, особенно твердых частей пищи Эти три симптома доктор будет связывать с наличием гастроэзофагальной рефлюксной болезни. Другие, менее распространенные симптомы: Охриплость или сиплость голоса Хронический кашель, в особенности ночью Частые грудные инфекции Частые синуситы
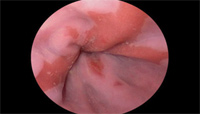
Как диагностировать кислотный рефлюкс? Не всегда вышеперечисленные симптомы обусловлены кислотным рефлюксом. Для правильного планирования лечения, необходимо пройти правильную диагностику. Эндоскопия
Самый распространеннй тест в диагностике рефлюксной болезни. Представляет из себя изучение слизистой желудка и пищевода с помощью гибкого фиброволоконного эндоскопа. Для устранения неприятных ощущения связанных с процедурой можно применять местный анестетик на слизистую ротоглотки. Процедура выполняется за несколько минут, может дать детальную информацию о повреждении пищевода, наличии диафрагмальной грыжи. Если при гастроскопии не удается обнаружить явления повреждения слизистой пищевода кислотой, производятся дополнительные исследования по измерению давления в пищеводе и прямое исследование кислотного рефлюкса на протяжении 24 часов используя специальный сенсор.
PH-метрия
Выше были указаны случаи, когда хирурги прибегают к таким дополнительным методам обследования, как пищеводная манометрия и 24 часовая pH метрия. Для осуществления исследования через носовое отверстия в самый низ пищевода - желудок ставиться специальный тонкий назогастральный зонд. Эффективной пищеводной помпы в динамике проверяется, когда пациенту дают глотать воду небольшими порциями. Разница давлений в районе нижнего пищеводного сфинктера и желудка - еще один параметр измерения. После проведения теста, который обычно занимает 30 минут, трубка измерения давления удаляется, взамен ставиться трубка измеряющая кислотность. Конец трубки подсоединяют к микро-компъютеру, который пациент будет носить на ремне в течении 24 часов. Пациент должен будет нажимать на специальную кнопку при возникновении изжоги. С помощью теста возможно определить общее количество кислоты которое было выброшено из желудка в пищевод за прошедшие 24 часа. Также можно будет определить зависимость возникновения симптомов с изменением pH среды пищевода.
Тестом третьего уровня диагностики будет рентген контроль пассажа бария по пищеводу-желудку. Во время рентгеноскопического исследования, пациент глотает рентген контрастную смесь (водную смесь бария). Методика позволяет обнаружить эпизоды обратного заброса желудочного содержимого в пищевод. С помощью рентген исследования также можно детально изучить анатомию диафрагмальной грыжи, что позволит хирургу правильно рассчитать объем оперативного лечения.
Нарушение эвакуации из желудка может быть в следствии функциональных нарушений мышечной стенки желудка, наличия объемных процессов в желудке обтурирующих просвет выхода из желудка(опухоли), стеноз выхода из желудка в следствии хронической язвы. Перед началом проведения перечисленных тестов, пациенту может быть предложено проведение массивной антацидной терапии с диагностической целью. Если терапия подавления секреции желудка не увенчалась успехом и перечисленные жалобы сохраняются, вполне обосновано прибегать к дальнейшим инструментальным исследованиям.
Насколько опасен кислотный рефлюкс?
Продолжающийся контакт соляной кислоты со слизистой пищевода приводит к ее повреждению. Это приводит к раздражению и воспалению слизистой. Прогрессирование воспаление приводит к возникновению язв и кровотечений. В дальнейшем, сужение просвета и формирование стриктур могут привести к значительным сложностям при глотании. Дальнейшим осложнением может быть развитие пищевода Барретта. Наравне с локальным повреждением пищевоа, хронический кислотный рефлюкс приводит к развитию астмы, частых грудных инфекций, ларингита, хронического кашля. Какие возможности лечения? Консервативное лечение и модификация стиля жизни – первоочередные принципы лечения. Лечение кислотного рефлюкса и его симптомов должно начинаться с модификации стиля жизни. Это включает исключение из рациона продуктов, которые вызывают эпизоды кислотного рефлюкса: кофеин, алкоголь, острые специи, шоколад, прекращение курения. Вечерний прием пищи должен быть установлен таким образом, что бы было достаточно времени для полного опустошения желудка, перед началом сна. Время от последнего приема пищи до сна должно составлять не менее 4 часов. Снижение веса, как устранение одного из факторов рефлюкса. Не принимать горизонтальное положение в течении 40 минут после еды. Использовать подушки повыше. Если перечисленные способы не помогли, необходимо переходить на лекарственные методы лечения. Консервативная терапия Основными препаратами в терапии кислотного рефлюкса есть антациды. Их действие связанно с нейтрализацией кислоты а также с стимуляцией пищевода опустошать кислотное содержимое. Часто используемый антацид –Гевискон. Его дозировки и метод использования подбирается врачом.
Основным принципом терапевтического лечения есть глубокое подавление кислотопродуцирующей функции желудка. Используются препараты – группы ингибиторов протоновой помпы – Омепразол и Лансопразол. Также могут быть использованы H2 антагонисты Ранитидин, Фамотидин. Если установлено, что причиной кислотного рефлюкса есть замедленное опустошение желука, могут быть использованы препараты усиливающие моторику Домперидон, Мотиллиум. Что такое пищевод Баррета? это одно из серьёзных осложнений ГЭРБ, состояние пищевода , при котором в эпителиальной выстилке слизистой оболочки пищевода обнаруживается нехарактерный для нормы цилиндрический эпителий вместо плоского многослойного. Метаплазия клеток нижней части пищевода рассматривается, как состояние, вызванное хроническим кислотным повреждением, эзофагит, и не является очерченным заболеванием. Пищевод Барретта обнаруживается примерно у 10 % пациентов, обратившихся по поводу изжоги от гастроэзофагеального рефлюкса, а в общей популяции — у 1 % населения. Он рассматривается, как предраковое состояние и ассоциируется с повышением риска частоты развития рака кардиоэзофагеальной зоны, аденокарциномы нижней трети пищевода (рака пищевода). Подтверждает диагноз биопсия слизистой пищевода. Несмотря на то, что замечена зависимость между пищеводом Баррета и возможностью возникновения рака пищевода, возникновение последнего достаточно редко. Последнее исследование ученых из Дании показало, что рак пищевода , как осложнение пищевода Барретта возникло только у 1.2 из 1,000 пациентов в год. Даже у тех, у кого были явные предраковые клеточные изменения (дисплазия), только у 5 из 1,000 развился рак (ссылка: Incidence of adenocarcinoma among patients with Barrett's esophagus. N Engl J Med. 2011 Oct 13;365(15):1375-83. Hvid-Jensen F et al). Как лечение может повлиять на прогрессию пищевода Барретта? Медикаментозная терапия с использованием противокислотных средств мало влияет на прогрессию пищевода Барретта. Существуют некоторые эндоскопические методики направленные на частичное удаление сегментов пораженной слизистой, но широкого применения в клинике они пока не приобрели. Анти-рефлюксаня хирургия на сегодняшний день самое эффективное мероприятие по остановке прогрессирования пищевода Барретта. Насколько опасен длительный прием антацидных препаратов? Риск длительного приема таких антацидов, как ингибиторы протоновой помпы минимален. В чем заключается хирургия кислотного рефлюкса? Анти-рефлюксная хирургия это наиболее эффективное лечение ГЭРБПоказана она, если длительный прием антацидов не приносит облегчения, или если больной не хочет принимать препараты снижающие кислотность желудка.
Анти-рефлюксные операции выполняються с помощью стандартной лапароскопической операции или с помощью однопортового доступа. Выполняется по общей анестезией в среднем 1,5 часа. Срок пребывания в стационаре после операции в среднем – 3 суток. Во время операции свободно распологающееся дно желудка фиксируется специальными клипсами к ослабленному пищеводному сфинктеру- формируется новый эффективный клапан. В дополнении выполняется ушивание диафрагмальной грыжи.
Насколько безопасны операции? Анти-рефлюксная операция настолько же безопасна, как и удаление желчного пузыря или иссечение грыжи. Несмотря на это, как и все хирургические операции может сопровождаться кровотечением, инфекциями, повреждением соседних органов. Для минимизации таких осложнений рекомендую Вам обращаться в специализированные хирургические центры, где такие операции проводятся в большом количестве. Какие побочные действия такой операции? У пациентов рефрактерных к медикаментозной терапии, анти-рефлюксная операция приносит большое облегчение и избавляет от необходимости приема лекарств в будущем. Возможными побочными эффектами могут быть сложности при глотании первые несколько дней после операции, дискомфорт при приеме твердой пищи, ощущение вздутия живота. Чаще всего эти осложнения проходят еще до выписки из стационара.
|

Изжога может возникать время от времени и у здоровых людей, может сопровождать отрыжку.
В норме, пищевод покидает грудную полость и попадает в брюшную через небольшое отверстие в диафрагме. Диафрагмальная грыжа возникает, когда это отверстие становиться большим и связки укрепляющие пищевод к диафрагме - ослабевают. Поскольку брюшное давление выше грудного – желудочное содержимое забрасывается в пищевод. Диафрагмальные грыжи возникают у людей старше 40 лет, и присутствуют у более чем 20%. У людей с выраженной недостаточностью клапана между желудком и пищеводом (вызванной диафрагмальной грыжей), которая приводит к частым и изнуряющим изжогам, наиболее эффективным методом лечения будет хирургическое укрепление ослабевающих клапанных тканей.
Если есть подозрение, что причиной изжоги стало замедленная эвакуация из желудка, обоснованным будет проведение дополнительных тестов по изучению эвакуаторных способностей желудка.
